胡桃夹现象
的有关信息介绍如下:
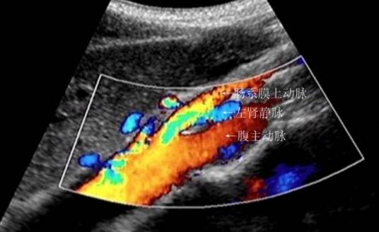
胡桃夹现象(nutcracker phenomenon)亦称左肾静脉压迫综合征,好发于青春期至40岁左右的男性,儿童发病分布在4-7岁,多发年龄见于13-16岁,是儿童非肾性血尿常见的原因之一,为左肾静脉汇入下腔静脉的行程中,因走行于腹主动脉和肠系膜上动脉之间形成的夹角受到挤压而引起的临床症状。临床上往往借助于超声来诊断,其诊断标准为:仰卧位左肾静脉狭窄前扩张部位近端内径比狭窄部位内径宽2倍以上,脊柱后伸位15-20分钟后,其扩张部位内径比狭窄部位内径宽4倍以上,取两个体位即可诊断。亦可采用综合指标,即有以上表现以外,再加上脊柱后伸位15~20分钟后,左肾静脉扩张近端血流速度≤0.09m/s,肠系膜上动脉与腹主动脉夹角在9度以内为参考值。
产生的血尿一般是直立性血尿,即血尿出现在身体直立时,平卧位消失,多见于较为瘦高的青少年,30岁以上者少见。具有非肾小球源性血尿的特点,但也有少数患者可以表现为肾小球源性血尿,并且可以合并直立性蛋白尿。患者预后良好,成年后大多数血尿会逐渐好转。
想要了解更多“胡桃夹现象”的信息,请点击:胡桃夹现象百科



