牙套价格
的有关信息介绍如下:首先要说明的是:很多人将真正的牙套(将牙齿包绕永久的修复体)和牙齿矫正做的丝弓矫治器混淆,这非常容易让很多医生将烤瓷冠矫正这种逆势而为的方式滥用。
牙齿矫正一般分为传统的金属弓丝矫正,其过程在成人约24-28个月。确实对求职有所影响,不过磨刀不误砍柴工,整齐的牙齿不但是文化水平的象征,也可以免除以后龋齿的后顾之忧,任何一个用人单位都应该明白这个道理的。且传统的牙齿矫正也是技术最成熟的。费用也是最低的。

居中的是陶瓷托槽的牙齿矫正,矫正过程中相对隐蔽,其唯一的优势就是相对美观,当然如果咬合不是过紧的,也可以选择绝对隐秘的舌侧矫正,但对发音有一定影响。费用相对高些,在2-3w左右。

最后是隐形矫正,是统一设计、统一送交外加工,所以没有最好,只有价格空间、服务的不同。也就是说同样的东西,各个医疗机构收费不同,建议多咨询几家,找一个离自己近,价格公道的,就绝对没有问题。但隐形矫正病历适应证极其严格,建议上传照片,判定是否是可以做的,才可做到有的放矢,安稳快捷。有的时候很多患者选择了隐形矫正,却不能做的,比如重度反颌,过度拥挤。
其余的的牙齿有缝隙、轻度反颌、牙齿拥挤低于8mm总量的、深覆颌都可以选择隐形矫正这一既美观又有实效的矫正方式,其大致指导收费在2w-5w之间。

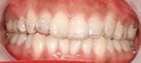
上图为隐形矫正过程中佩戴模具的实际效果图,可见有一层需要仔细观察看得到的透明薄膜
以上为综合性的大问题,你的问题基本可以囊括了。



