印戒细胞癌
的有关信息介绍如下:
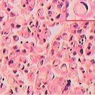
根据世界卫生组织分类,印戒细胞癌(SRCC)是一种组织学分型,这种分型最初是源于肿瘤的镜下特征而非其生物学行为,镜下显示肿瘤细胞胞质丰富、充满黏液,核被挤压于胞质一侧呈“印戒”样,因而得名,是一种特殊类型的黏液分泌型腺癌,常发生于胃肠道、乳腺、膀胱及前列腺等部分,而肺脏原发的SRCC却很少见。
想要了解更多“印戒细胞癌”的信息,请点击:印戒细胞癌百科

根据世界卫生组织分类,印戒细胞癌(SRCC)是一种组织学分型,这种分型最初是源于肿瘤的镜下特征而非其生物学行为,镜下显示肿瘤细胞胞质丰富、充满黏液,核被挤压于胞质一侧呈“印戒”样,因而得名,是一种特殊类型的黏液分泌型腺癌,常发生于胃肠道、乳腺、膀胱及前列腺等部分,而肺脏原发的SRCC却很少见。
想要了解更多“印戒细胞癌”的信息,请点击:印戒细胞癌百科