活动性肺结核
的有关信息介绍如下:
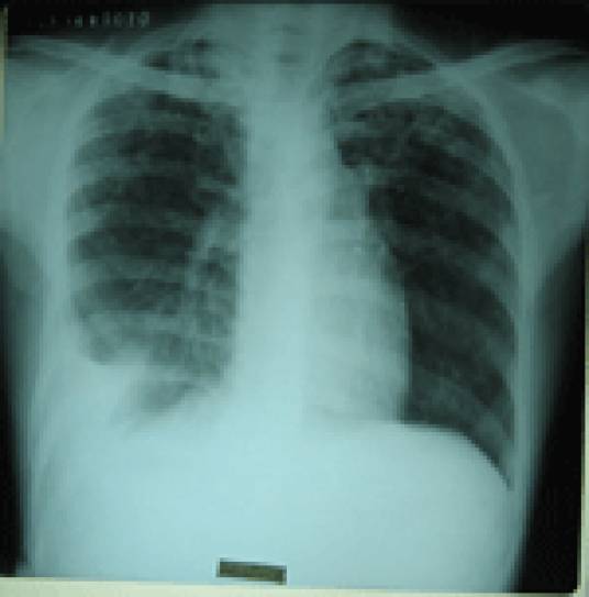
活动性肺结核指新涂阳、复治涂阳和新涂阴患者。活动性肺结核是指痰涂片阳性者,证明有结核分枝杆菌排出,病灶属于活动期,胸片上常有斑片状阴影或是结核空洞,或者播散病灶,说明结核分枝杆菌繁殖活跃,毒力强。治疗四个月,复查痰涂片和痰培养阴性者,胸片提示钙化,纤维化,硬结等,说明结核控制,无传染性及临床症状。无活动性即不是活动性肺结核。
想要了解更多“活动性肺结核”的信息,请点击:活动性肺结核百科

活动性肺结核指新涂阳、复治涂阳和新涂阴患者。活动性肺结核是指痰涂片阳性者,证明有结核分枝杆菌排出,病灶属于活动期,胸片上常有斑片状阴影或是结核空洞,或者播散病灶,说明结核分枝杆菌繁殖活跃,毒力强。治疗四个月,复查痰涂片和痰培养阴性者,胸片提示钙化,纤维化,硬结等,说明结核控制,无传染性及临床症状。无活动性即不是活动性肺结核。
想要了解更多“活动性肺结核”的信息,请点击:活动性肺结核百科