T淋巴母细胞性淋巴瘤
的有关信息介绍如下:
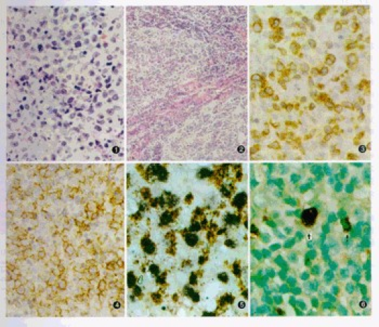
淋巴母细胞性淋巴瘤:淋巴结结构破坏,瘤细胞弥漫性增生,细胞排列紧密,但彼此不粘附,核分裂像多见。T淋巴母细胞性淋巴瘤(TLBL)很少见,其临床表现独特,预后不佳,极少累及皮肤。
想要了解更多“T淋巴母细胞性淋巴瘤”的信息,请点击:T淋巴母细胞性淋巴瘤百科

淋巴母细胞性淋巴瘤:淋巴结结构破坏,瘤细胞弥漫性增生,细胞排列紧密,但彼此不粘附,核分裂像多见。T淋巴母细胞性淋巴瘤(TLBL)很少见,其临床表现独特,预后不佳,极少累及皮肤。
想要了解更多“T淋巴母细胞性淋巴瘤”的信息,请点击:T淋巴母细胞性淋巴瘤百科